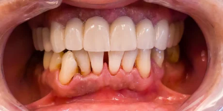
Ablația lucrărilor vechi, inestetice și realizarea a două lucrări ceramice din 23 de elemente ceramice superior și inferior
Îndepărtarea lucrării vechi superioare, realizarea unei lucrări ceramice din 14 de elemente ceramice și închiderea breșelor edentate inferior
Ablația lucrării vechi superioare și realizarea unei lucrări superior și inferior din 24 de elemente ceramice
Multiple extracții din cauza unei parodontite generalizare și protezarea breșelor edentate printr-o lucrare din 12 elemente ceramice pe arcada superioară.